Crowns and Bridges - Jacksonville, FL

A Cost-Effective Option to Restore At-Risk Teeth

Schedule Your Appointment

Get Started

Crowns and Bridges Make Your Smile Whole Again

If you’re experiencing functional problems with your tooth, or you’ve lost one or had it extracted, it may be uncomfortable to complete everyday activities like eating or even speaking. Damaged or decayed teeth often cause sensitivity and pain. Chips or cracks can make even the most confident person feel self-conscious. When a tooth is damaged, that doesn’t mean it needs to be extracted. If the tooth’s roots and interior are still healthy then the tooth is worth saving. We just may need to give it a new exterior. If you’ve got chipped teeth, cracked teeth, or broken teeth, we can make your smile whole and fully functional again with dental bridges and dental crowns in Jacksonville, FL.

At Riverside Dental our dentist and dental team are skilled in these restorative treatments and have the artistic eye to provide aesthetically attractive outcomes, as well as returning function to your tooth. Your new restoration, made from porcelain or ceramic materials, will blend seamlessly with your existing teeth and be strong enough to bite and chew foods comfortably once again.

At Riverside Dental our dentist and dental team are skilled in these restorative treatments and have the artistic eye to provide aesthetically attractive outcomes, as well as returning function to your tooth.

Dental Crowns: Repair a Damaged Tooth

Crowns are tooth caps placed on the top of a tooth that has been modified. They’re used to restore tooth function and appearance when tooth decay is so advanced that large portions of the tooth must be removed or when an existing large filling can’t be repaired. Crowns also restore the structure and function of a weakened tooth after a root canal. In addition, if veneers aren’t a viable option to cover stained or discolored teeth, we may suggest crowns in Jacksonville, FL. The tooth receiving the crown is filed down across the top and sides to make space for the crown to fit snugly. Then, Dr. Spencer takes impressions of the tooth and sends them out to a dental lab to handcraft the crown. You’ll wear a functional temporary crown made of resin until you return to Riverside Dental to be fitted for your final crown.
dental bridge model

Dental Bridges Replace a Missing Tooth

When you lose a tooth, adjacent teeth may shift and cause misalignment or malocclusion (bad bite). A missing tooth in your lower jaw can cause a tooth in the upper jaw to shift down into that space, placing undue stress on your teeth and jaw joints, as well as pain and potential damage. Missing teeth can also cause decay in adjacent teeth, lead to bone loss and eventual facial changes as the jawbone collapses. A dental bridge is a natural-looking alternative to dental implants to replace one or two missing teeth. Most bridges are made of a pontic tooth (false tooth) in the center cemented to crowned surrounding (abutment) teeth on each side of the gap. Dr. Spencer prepares the abutment teeth in much the same way as a single crowned tooth and sends the impressions out to the dental lab to create the bridge. In addition to restoring oral function after tooth loss, a dental bridge in Jacksonville, FL eliminates unsightly gaps in your smile, prevents remaining teeth from shifting and associated issues such as malocclusion.

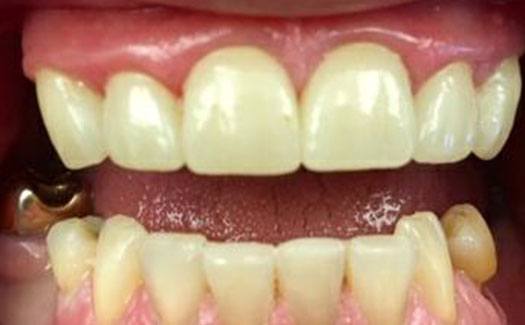
The Proof Is In Our Patients

Before After
Before After
Before After
dental patient using calculator

How Much Do Crowns and Bridges Cost?

We offer highly competitive pricing for crowns and bridges in Jacksonville, FL. Dental bridges and crowns are typically partially covered by dental insurance, subject to your individual policy, deductibles and co-pays. Before you decide to get a crown or bridge, we’ll speak to your insurance company to determine how much is covered so you can make an informed decision based on your budget. We also offer third-party financing to help you afford any out-of-pocket costs. When you receive a custom crown or bridge from the seasoned dental team at Riverside Dental, you’ll enjoy restored oral function and smile aesthetics for many years to come!

Ready to Restore Your Missing Smile?

Schedule an Appointment

I understand the information disclosed in this form may be subject to re-disclosure and may no longer be protected by HIPAA privacy regulations and the HITECH Act.

schedule appointment